Exploring the Best Options for Replacing Missing Teeth
Missing teeth can be more than just a cosmetic concern; they can significantly affect your oral health, self-esteem, and overall quality of life. As many
Complimentary Teeth Whitening Pen with your next routine dental visit. Limited time offer!
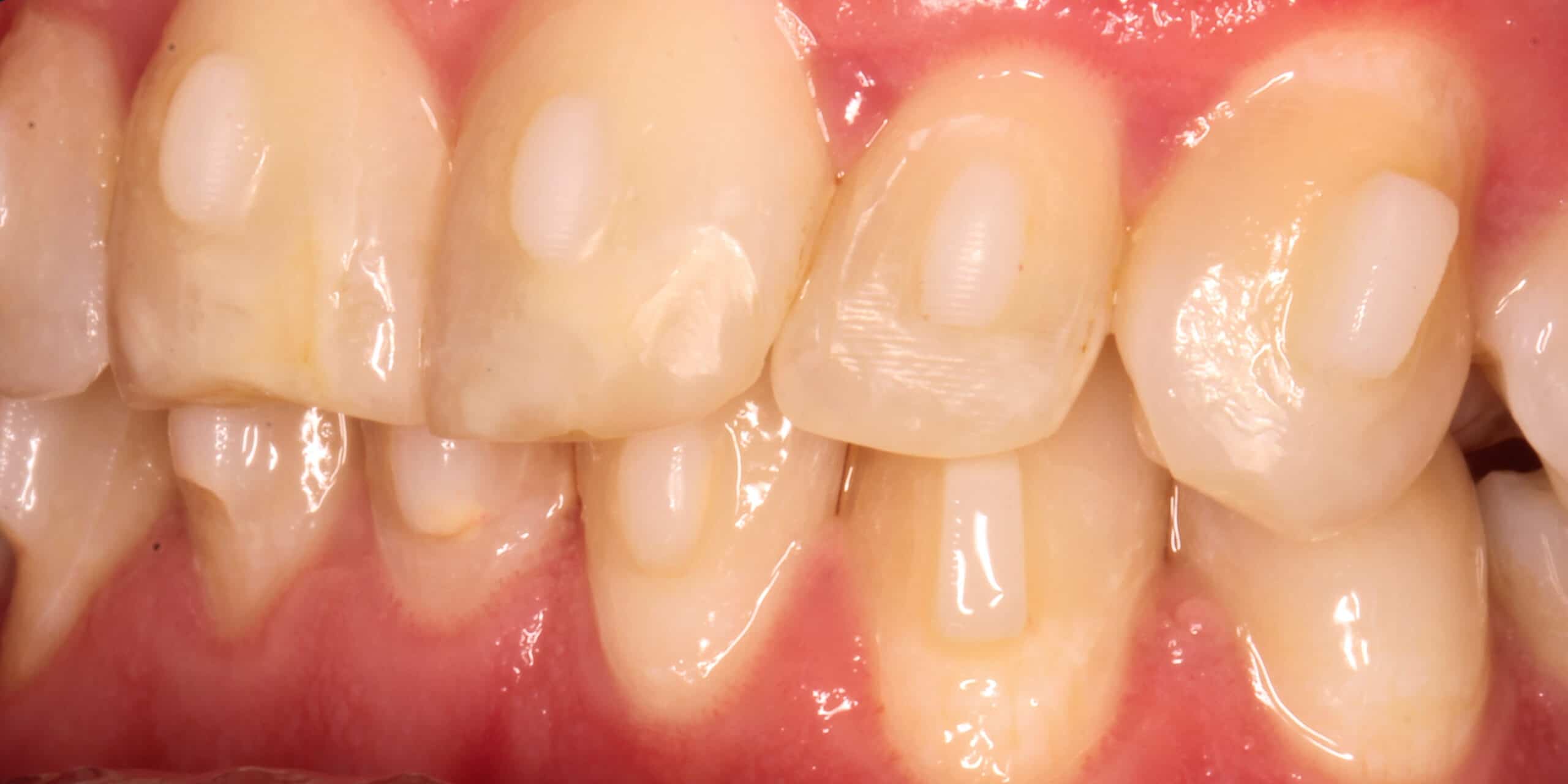
Invisalign attachments are tooth bonded buttons placed on your teeth during Invisalign treatment. Invisalign is a much more cosmetic option than placing metal brackets on your teeth. However, teeth can be a bit too hard for the Invisalign clear aligners to move on their own. For this reason dentists will place white buttons on teeth called “Attachments.”
Invisalign Attachments generally stay on your teeth for the entire duration of the Invisalign treatment. Once the desired Invisalign results are completed, your dentist will remove the attachments from your teeth.
Invisalign attachments can help you achieve the desired results faster. In many cases we can place Invisalign attachments behind your teeth which makes them not visible to others.
Missing teeth can be more than just a cosmetic concern; they can significantly affect your oral health, self-esteem, and overall quality of life. As many
Bad breath, or halitosis, is a common issue that affects people of all ages. While it can be embarrassing, understanding the root causes can help
One of the most promising applications of AI technology is in the field of dentistry, particularly in the analysis of dental X-rays.
Our teeth are one of the most important assets we have. The old adage, “you’ll miss them when they’re gone,” is never more true than
Oral care encompasses so much more than just your teeth; it is also centered on ensuring the health and longevity of your gums. It is
If you have particularly sensitive teeth, you may find yourself avoiding dental cleanings for fear of discomfort or pain. A feeling of sharpness or like your teeth might fall out are the types of pain typically felt by sufferers of tooth sensitivity.
Having completed NYU School of Dentistry and a General Residency program in Kings County hospital. Dr. Peter Mann has trained with some of the top world renowned dentists. Being recognized in 2009 with a fellowship award from the (ICOI) International Congress of Oral Implantology and in 2012 with a fellowship award from the (AGD) Academy of General Dentistry.
In 2009 Dr. Peter Mann decided it was time to achieve his vision by opening his dental office to provide outstanding dental services to NYC residents. Smile Arts of NY is located in the heart of Manhattan on E. 40th between Madison and Park ave.
Originally born in Ukraine, when iron curtain of communism collapsed his family took the opportunity to pursue the American dream by moving to New York. Dr. Peter Mann has lived in New York ever since, for over 33 years. His goal is to provide excellent dental experience for his fellow New Yorkers.
Dr. Mann lives minutes from the office. Patients undergoing treatment have his cell phone number and can always get in touch with any questions or concerns. It’s not unusual to see Dr. Mann arriving after hours to help a patient with an emergency.